‹ › ×
    Accueil
    • Parodontologie
    • Orthodontie esthétique
    • Facettes dentaires
    • Blanchiment dentaire
    • contact
    brand-logo Accueil
    • Parodontologie
    • Orthodontie
    • Facettes Dentaires
    • Blanchiment dentaire
    • Contact

     

    Prendre RDV

    Améliorer son sourire avec des facettes dentaires à Marseille 

    Cabinet dentaire Spécialiste facettes  dentaires Marseille
    Spécialiste Facettes dentaires à Marseille -Cabinet 141 Baille
    Spécialiste facettes dentaires Marseille Cabinet Dentaire 141 BAille
    spécialiste des  facettes dentaires ceramiques Emax ®Cabinet 141 Baille
    Invisalign Marseille
    Facettes dentaires spécialiste
    Facettes dentaires specialiste Marseille
    Orthodontie par gouttières invisalign® Marseille
    Cabinet spécialiste en esthétique dentaire Marseille
    ofrthodontie invisalign® marseille Cabinet 141 Baille

     

    Améliorer son sourire avec des facettes dentaires à Marseille  Cabinet Dentaire 141 Baille

     

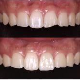
    Les facettes dentaires sont de fines pellicules de céramique qui sont collées à la surface des dents , et remplacent l'émail de la dent.Il est ainsi possible de corriger des anomalies de teinte appelées Dyschromies  dentaires ou des anomalies de forme telles que les fractures ou abrasions dentaires.

     

    Il faut savoir qu'il exsite de nombreuses variété de facettes dentaires et que les résultats esthétiques vont dépendre du choix de la technique mise en oeuvre.

     

    Les résultats les plus probants sont actuellemnt obtenus avec les facettes céramiques pelliculaires sur mesure stratifiées de type Emax®.

     

    La mise en place des facettes s'inscrit dans le cadre d'un traitement esthétique dentaire global qui sera coordonné par le dentiste spécialiste en esthétique dentaire.

    Contacter le Cabinet  dentaire 141 baille

     

    Vous pouvez nous écrire via le formulaire

    de cette page ou nous téléphoner  au

    +33(0)4 84 89 52 40

     

    Blanchiment      dentaire cabinet spécilalisé en facettes dentaires marseille     Facettes dentaires 13006    facettes dentaires avant apres   facettes dentaires avis  facettes dentaires la ciotat

     Facettes  dentaires lumineers Marseille  Facette dentaire pas cher Marseille  Facettes dentaires marseille tarif   Facettes dentaires pas cher Marseille  Facette dentaire prix forum Marseille   facette dentaire prix Marseille  Facette dentaire remboursement Marseille  facette dentaire sans meulage Marseille  Facette dentaire snas tailler Marseille Facettes dentaires    Facettes dentaires 13007 Marseille  Facettes dentaires 13008   Facettes dentaires marseille 13009     Facettes dentaires Marseille Castellane    Facettes dentaires Marseille Centre    Facettes dentaires prix Marseille    Facettes dentaires sans limage  Marseille     La technique des facettes dentaires sur Marseille     Prix facette dentaire sur marseille     Spécialiste facette dentaire Marseille    Facettes dentaires Aubagne 13400  Facettes dentaires 13005  Prix facettes dentaires Marseille    Spécialiste facette dentaire Marseille 

    Le Cabinet dentaire 141 Baille

    Cabinet dentaire LIBERAL spécialisé dans la prise en charge esthétique des soins dentairesà Marseille.

    Informations légales

    Tous droits réservés

    Photos protégées cabinet dentaire 141 Baille

    Site réalisé avec W.A.R.C

    Mentions légales

    Contact

    Utilisation des cookies

    Pour vous assurer une expérience réussie, 

    ce site utilise des cookies et des traceurs 

    Google Analytics à des fins statistiques.

    Pour en savoir plus, cliquez ICI.

    Réseaux sociaux

    Pour suivre l'actualité du Cabinet Dentaire t,

    n'hésitez pas à nous suivre sur les réseaux sociaux :

    FACEBOOK / INSTAGRAM / TWITTER.